Александр Иванов «Массаж при вальгусной деформации стопы» слив скачать
- Добавлено: 2021-03-22
- Автор курса: Александр Иванов
- Сайт автора: Перейти
- Доступ: Облако Mail / Yandex / Google
- Скачать: PC / Smartphone / Tablet
Для кого предназначен – для опытных специалистов массажа, начинающих массажистов для расширения массажного кругозора, для любителей массажа и мануальной терапии с целью оздоровления организма в домашних условиях.
Автор курса - профессиональный массажист, автор методики Артикуляционно-рефлекторного массажа, Александр Иванов.
Спойлер: О курсе Интересный, насыщенный, информативный мини-курс от известного массажиста, мануального терапевта и преподавателя, Александра Иванова. Рассчитан как на практикующих массажистов желающих освоить новую технику, так и на новичков владеющих базовыми навыками в массаже и имеющих понимание об анатомии и физиологии человека. Также, данный курс подойдёт сторонникам самомассажа и самостоятельного оздоровления организма с помощью методов альтернативной медицины.
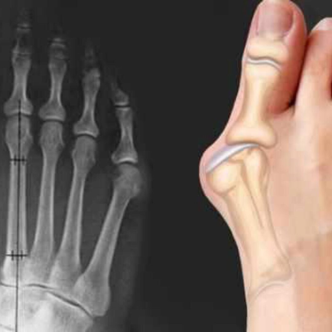
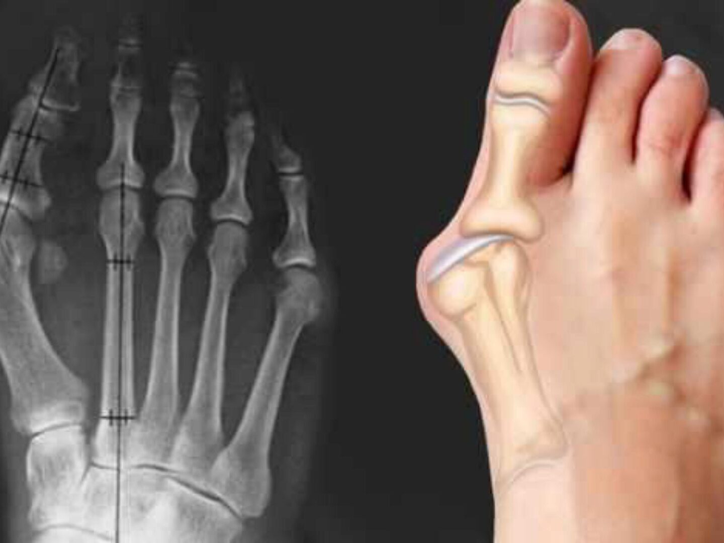
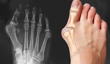
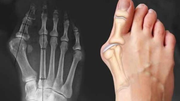
Автором предлагается уникальная эффективная методика мануального массажа с использованием остеопатического подхода. Принцип работы базируется на мягком безболезненном воздействии и детальной скрупулёзной проработке тканей массируемой области, улучшении их питания и подвижности на всех уровнях, восстановлении мышечного баланса, нервной проводимости, подвижности костных соединений. Все манипуляции имеют чёткое обоснованное действие. Каждое движение является одновременно диагностическим и лечебным, а технология в целом способствует не только восстановлению здоровья стопы, но и благотворно отражается на состоянии всей нижней конечности, таза и позвоночного столба.
Положительный и достаточно быстрый эффект от процедуры, достигается благодаря грамотному последовательному подходу, который основан на биомеханических взаимосвязях, рефлекторных реакциях и коррекции скелета стопы. При проведении такого массажа, в организме массируемого происходит множество положительных биохимических процессов и ответных реакций как на клеточном, так и на тканевом уровнях. В частности, улучшается микроциркуляция и питание тканей стопы и голени, улучшается проводимость сосудов, как следствие устраняются застойные явления и отечность ног, восстанавливается эластичность связок и сухожилий. В совокупности это положительно влияет на здоровье ног. Уходит болезненность в области переднего отдела стопы, в частности в зоне вальгусного искривления и образования типичного выступа, известного как «шишка» или «косточка» на большом пальце стопы. Шаг становится более мягким, лёгким, непринуждённым, естественным.
Проходит быстрая утомляемость и ощущение постоянной усталости в ногах. Всё это достигается благодаря систематическому массажу по предложенной методике при hallux valgus, а также комплексу упражнений, которые рекомендуются в материалах курса, для самостоятельной коррекции стопы.
Онлайн-курс состоит из уроков с теорией и практикой. Информация предоставлена как в видео так и, в текстовом формате. В каждом из уроков раскрывается важная тема и даётся техническая база, методические предписания, рекомендации по самостоятельному применению методики массажа и для проведения манипуляций на массируемом.
Спойлер: Программа курса Урок №1. Стопа человека. Анатомические особенности и ориентиры массируемой области
Урок №2. Кости стопы и голени. Обоснованность манипуляций с костями и суставами при hallux valgus
Урок №3. Нервы нижней конечности. Биомеханика периферических нервов, отражение на развитии патологии
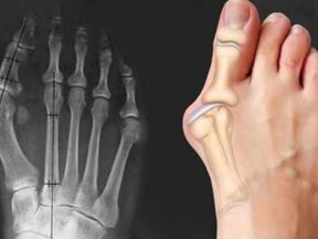
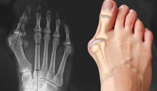
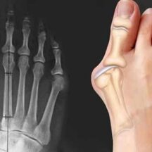
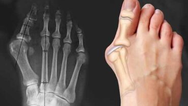
Урок №4. Система большого пальца стопы. Вальгусная деформация, механизм развития патологии, биомеханика
Урок №5. Методика и техника массажа при вальгусной деформации большого пальца стопы. Протокол работы
Урок №6. Самокоррекция стопы при вальгусной деформации и плоскостопии
Что Вам даст онлайн-курс:
В ходе изучения материалов курса, Вы получите важные знания и навыки, которые в дальнейшем сможете использовать в своей массажной деятельности и для применения на себе и своих близких, а именно:
- освоить анатомию и физиологию нижней конечности, ориентироваться в строении стопы и голени;
- понимать особенности патологии и причины её возникновения и развития;
- ориентироваться в наиболее важных зонах воздействия при проведении манипуляций;
- освоить технику мягкого мануального массажа с использованием остеопатического подхода;
- проводить самокоррекцию стопы при hallux valgus и плоскостопии с помощью специальных упражнений, или рекомендовать данный метод своим клиентам либо родным и друзьям;
- освоить методику массажа при вальгусной деформации стопы. Придерживаясь методических рекомендаций проводить массаж на массируемом безопасно и эффективно.
Обучение без поддержки эксперта
Купить другие курсы и тренинги от Александра Иванова
Рекомендуемые курсы
В материале показана схема наложения тейпов для устранения вальгусной деформации стопы (выступающей косточки большого пальца).
Третий урок Статические деформации стопы и мозоли Стопа, как орган движения. Строение нормальной стопы. Плоскостопие, полая стопа, «косточки» (halluxvalgus), молоткообразные пальцы. Классификация мозолей, причины и механизмы их появления, правила удаления и профилактики. Ортопедические изделия в
Оздоровительные комплексы на каждый день для стоп, коленей и тазобедренных суставов Теория Нескучная теория о том, почему важно заниматься стопами и какую обувь выбирать для себя и детей, чтобы сохранить здоровье ног Бонус Расширенный комплекс для улучшения координации и летящей походки Чем
Формат — практический онлайн мини-курс. Видеоуроки и дополнительные материалы на платформе онлайн-школы. Есть возможность обучения на мобильных устройствах Для кого предназначен – для опытных специалистов массажа, начинающих массажистов для расширения массажного кругозора, для любителей массажа и
Практический онлайн мини-курс по массажу при проблемах связанных с повреждением надлопаточного нерва и нервов плечевого сплетения, что проявляется в боли в плече, лопатке, руке, онемении пальцев, слабости мышц. Техника артикуляционно-рефлекторного массажа не требует большого опыта и
В первом модуле курса вы укрепите связки, мышцы и сухожилия стопы и пальцев, увеличите мобильность и стабильность ахилла, а также улучшите силу ног и баланс. После прохождения модуля вы не просто будете чувствовать силу в ногах и стопах но и лучше перемещать вес в пространстве и управлять своим
Больше курсов по этой теме
Прекрасное дополнение к программе «Симметрия лица. Выразительность и привлекательность»! Воздействие программы направлено на лицевую мускулатуру, в особенности на те участки лица, где активная мимика и неспадающее напряжение мышц вызывают множество морщин. Вслед за расслаблением мимики
Эта новая программа предоставит вам: Самый простой и невероятно эффективный способ избавиться от «плывущих» черт лица или второго подбородка, быстро вернуть вашему телу стройность и подтянутость в любом возрасте, который вы когда-либо пробовали, а также Вот лишь часть того, что вы получите: ·
Сделайте ваш тазобедренный сустав здоровым за 21 день с помощью авторского онлайн-марафона Евгения Кадлубинского «Здоровый ТБС 1.0» Старт: 29 марта Тазобедренный сустав — практически самый важный сустав в нашем теле. О нем мы начинаем думать, как правило, тогда, когда в нем возникают проблемы —
С возрастом в организме человека происходит целый ряд изменений, которые снижают работоспособность, энергичность, подвижность... Довольно низкий уровень двигательной активности со временем ограничивает амплитуду движений, ослабляет функциональность целого ряда мышечных структур, делает суставы
Постное меню-конструктор представляет собой набор постных рецептов, распределённых по приемам пищи (завтрак,обед,ужин, перекус). Для тех, кому важны калории и БЖУ, к каждому приему пищи будут подписаны КБЖУ. Вы получаете набор рецептов и сами выбираете, в какой день, что Вы будете готовить и есть.
О чем этот курс? Онлайн курс посвящен устройству и механизмам работы лимфатической и венозной систем и методам противоотечного и дренажного тейпирования для устранения отеков и эстетической коррекции тела. Курс будет полезен массажистам различных профилей: классический медицинский массаж, восточные
Отзывы о курсе «Массаж при вальгусной деформации стопы» от Александра Иванова